
Η κακοσμία του στόματος είναι ένα σύμπτωμα που μπορεί να δηλώνει μια γενικευμένη ήπια ή σοβαρή πάθηση. Για το λόγο αυτό πρέπει να διερευνηθούν τα αίτια που την προκαλούν.
Η πιο συχνή πηγή της κακοσμίας βρίσκεται στο στόμα σε ένα ποσοστό 90% περίπου. Είναι κοινό πρόβλημα ανδρών και γυναικών χωρίς να κάνει διακρίσεις σε ηλικίες. Η οσμή παρουσιάζει διακυμάνσεις κατά την διάρκεια του 24ωρου, έτσι παρατηρείται να είναι πιο έντονη το πρωί όταν ξυπνάμε, σε σύγκριση με τις υπόλοιπες ώρες της ημέρας.
Η χαλίτωση (γνωστή και ως κακοσμία του στόματος) συχνά προκαλείται από πτητικά βακτήρια που παράγουν ενώσεις θείου στην στοματική κοιλότητα.
Οι παράγοντες που μπορεί να προκαλέσουν κακοσμία είναι:
- Η κακή στοματική υγιεινή. Η ουλίτιδα και η περιοδοντίτιδα έχουν ως σύμπτωμα την κακοσμία. Και οι δύο νόσοι μπορεί να οφείλονται σε διάφορους λόγους εξαρτώνται όμως άμεσα από τη στοματική υγιεινή.
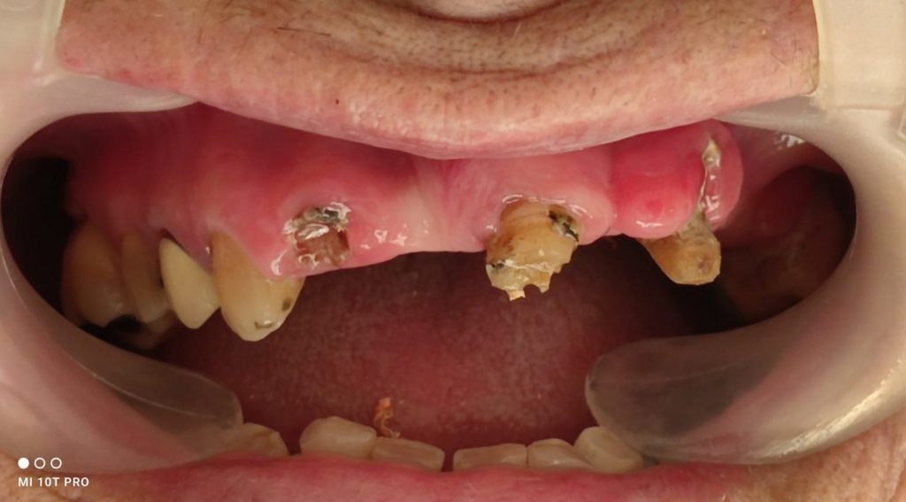
Οι ασθενείς που φέρουν κινητές ή ακίνητες προσθετικές εργασίες (μερικές ή ολικές οδοντοστοιχίες, γέφυρες) οφείλουν να είναι ιδιαίτερα προσεκτικοί και επιμελείς με την καθαριότητα αυτών. Η κατακράτηση υπολειμμάτων τροφών μπορεί να προκαλέσει άσχημη οσμή. 
Η ύπαρξη επίσης αρκετών τερηδονισμένων δοντιών ειδικά σε περιπτώσεις που έχουν δημιουργηθεί αποστήματα. 
- Η χρήση καρυκευμάτων και η λήψη φαγητών με έντονες οσμές όπως το κρεμμύδι, το σκόρδο, ο καφές, καρυκεύματα. Οι τροφές αυτές περνούν στο κυκλοφορικό σύστημα και αποβάλλονται μέσω των πνευμόνων.
- Η ξηροστομία. Ξηροστομία μπορεί να εμφανιστεί ξαφνικά και να είναι μια παροδική κατάσταση χαρακτηριστική της εποχής (πχ το καλοκαίρι), ή μιας περιόδου με έντονο στρες.

- Μπορεί όμως να είναι και αποτέλεσμα λήψης φαρμάκων (αντικαταθλιπτικά, αντιυπερτασικά, διουρητικά), ή μπορεί να είναι συνοδό σύμπτωμα ασθενειών (διαβήτης, AIDS, σύνδρομο Sjogren ,βαριές πρωτεϊνικές ανεπάρκειες κ.α.). Επίσης άτομα που υπόκεινται σε ακτινοθεραπείες κεφαλής και τραχήλου ή χημειοθεραπείες εμφανίζουν ξηροστομία ή άτομα με στοματική αναπνοή δηλαδή αναπνέουν από το στόμα.
- Το κάπνισμα
- Φάρμακα. Τέτοιες κατηγορίες φαρμάκων είναι τα αντιφλεγμονώδη ,τα αντικαταθλιπτικά, τα διουρητικά, τα αντιυπερτασικά κ.α.
- Κακοσμία εμφανίζεται και σε ασθενείς με βουλιμία. Η κακοσμία οφείλεται στη συχνή πρόκληση εμετού.
- Συστηματικές ασθένειες όπως είναι ο σακχαρώδης διαβήτης
- Γαστρο-οισοφαγική παλινδρόμιση.
Άλλες ασθένειες που σχετίζονται με κακοσμία είναι νεφρική ανεπάρκεια (οξεία, χρόνια), Εντερική απόφραξη οισοφαγικός καρκίνος ή καρκίνος του στομάχου ασθένειες του ήπατος.
- Λιθίαση των αμυγδαλών λόγω επαναλαμβανόμενων κρίσεων αμυγδαλίτιδας
- Παραρρινοκολπίτιδα
- Δίαιτες. Οι χημικές δίαιτές που στηρίζονται στην μεγάλη λήψη πρωτεϊνών και την μηδενική λήψη υδατανθράκων ταλαιπωρούν τον μεταβολισμό. Σε αυτές τις περιπτώσεις ο οργανισμός καταναλώνει το λίπος, παράγονται κετόνες, οι οποίες είναι δύσοσμες και μπορεί να απελευθερωθούν στην αναπνοή.
Όταν δεν προκύπτει κανένα αίτιο είτε τοπικής είτε γενικής φύσεως τότε μιλάμε για ιδιοπαθή κακοσμία και σε αυτές τις περιπτώσεις έχουμε μια διαταραχή της μικροβιακής χλωρίδας της στοματικής κοιλότητας με αποτέλεσμα την ανάπτυξη αναερόβιων μικροβίων, των οποίων τα προϊόντα του μεταβολισμού τους προκαλούν άσχημη οσμή.
Σε κάθε περίπτωση όμως η χαλίτωση πρέπει να διερευνηθεί ξεκινώντας από τον οδοντίατρο.
Ευαγγελία Βέρρη – οδοντίατρος
Από in.gr



















